Sanità

Natale in sala operatoria: salvata una donna con un tumore ovarico di grandi dimensioni

Intervento d’urgenza alla Città della Salute: asportata una neoplasia di 6 chili grazie a un lavoro multidisciplinare

Natale in sala operatoria: salvata una donna con un tumore ovarico di grandi dimensioni

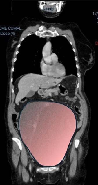
Non avvertiva alcun dolore e non immaginava ciò che stava crescendo silenziosamente dentro di lei. Una donna di 69 anni è stata salvata grazie a un intervento chirurgico d’urgenza, eseguito pochi giorni prima di Natale, dopo la scoperta di un tumore ovarico di dimensioni eccezionali, paragonabili a quelle di una gravidanza gemellare a termine.

Natale in sala operatoria

La gigantesca cisti ovarica, con un diametro di circa 28 centimetri, è rimasta nascosta per mesi senza dare segnali evidenti. L’allarme è scattato improvvisamente quando la massa, associata a una seconda neoplasia intestinale, ha iniziato a comprimere il colon, provocando una grave sofferenza intestinale non più ignorabile.

La paziente arriva all’attenzione dei sanitari a metà dicembre e viene presa in carico dalla Chirurgia Ginecologica Mininvasiva dell’ospedale Sant’Anna, diretta dal dottor Paolo Petruzzelli. Nonostante le festività imminenti, si attiva immediatamente la rete oncologica della Città della Salute e della Scienza di Torino, attraverso il Centro Accoglienza e Servizi e il Gruppo Interdisciplinare di Cura, che consentono in pochi giorni di definire diagnosi, stadiazione e percorso terapeutico.

Fondamentale il contributo della Radiologia del Sant’Anna, che fornisce l’imaging preoperatorio indispensabile per affrontare un quadro clinico di estrema complessità.

Il 23 dicembre, a poche ore dalla vigilia di Natale, la donna entra in sala operatoria. L’intervento, affrontato in regime di urgenza, dura circa sei ore, dalle 8.30 alle 14.30. La gestione anestesiologica e rianimatoria è affidata all’équipe dell’Anestesia e Rianimazione, coordinata dalla dottoressa Mariella Maio, con un ruolo centrale delle dottoresse Milena Mortara e Mary Lo Cane, che seguono la paziente nelle fasi intraoperatorie e nel successivo ricovero in terapia intensiva.

Durante l’operazione emerge la gravità della situazione: la neoplasia ovarica, del peso di circa 6 chilogrammi, viene completamente asportata. I sintomi più pericolosi, però, sono legati alla sofferenza intestinale, che richiede un intervento immediato e coordinato. In sala operatoria viene coinvolta la dottoressa Anna Opramolla della Gastroenterologia ed Endoscopia Digestiva dell’ospedale Regina Margherita, che esegue una procedura endoscopica intraoperatoria decisiva.

Le ripetute consulenze dell’Anatomia Patologica, gestite dalla dottoressa Margherita Goia, confermano la natura neoplastica sia della massa ovarica sia della lesione del colon sigma, permettendo di orientare con precisione le scelte chirurgiche. A quel punto interviene la Chirurgia d’Urgenza dell’ospedale Molinette, con il dottor Mauro Santarelli, che procede alla necessaria radicalizzazione sul versante intestinale.

Accanto ai numerosi specialisti coinvolti, un ruolo centrale è stato svolto anche dalla dottoressa Michela Chiadò, operatrice senior della Chirurgia Mininvasiva, che ha seguito la paziente lungo l’intero percorso diagnostico-terapeutico, garantendo continuità assistenziale. Importante anche il contributo degli specializzandi, tra cui la dottoressa Margherita Di Rienzo.

Un intervento che ha letteralmente salvato la vita alla donna e che rappresenta un esempio concreto di sanità d’eccellenza. «Sono casi rari ma emblematici – spiegano i professionisti coinvolti insieme al direttore sanitario di presidio Umberto Fiandra – perché dimostrano come tempestività, competenza e lavoro di squadra possano fare la differenza anche in regime di urgenza».

Il dottor Paolo Petruzzelli ha definito il caso un evento “normalmente eccezionale”, una storia di Natale vissuta tra le luci della sala operatoria e decisioni cruciali, che ha restituito a una donna la possibilità di guardare al futuro.

«Una storia a lieto fine che diventa esempio delle eccellenze multidisciplinari della nostra Città della Salute e della Scienza – ha dichiarato Livio Tranchida, direttore generale della CDSS –. Il valore aggiunto è stato poter schierare contemporaneamente tutte le competenze necessarie. In questi giorni di festività il mio pensiero va ai pazienti e a tutti gli operatori sanitari che li assistono con professionalità e umanità».